Interceptive Orthodontics

Interceptive orthodontics is the guidance of teeth eruption and correction of malocclusion (abnormal bite) by early intervention in order to improve future outcome(s). This is usually achieved by simple fixed or removable appliances.

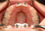
If your child loses any primary teeth as a result of trauma, decay or congenital reasons, he/she may benefit from space maintainers (spacers). Space maintainers are appliances made of metal that are custom fit to your child's mouth. They are small and unobtrusive in appearance. Most children easily adjust to them after the first few days.

If your child requires more extensive orthodontic treatment, we would be happy to refer him/her to a certified orthodontist.

Space Maintainers

photo of spacer

If a baby tooth is lost too soon, the teeth beside it may tilt or drift into the empty space. Teeth in the other jaw may move up or down to fill the gap. When adjacent teeth shift into the empty space, they create a lack of space in the jaw for the permanent teeth. So, permanent teeth are crowded and come in crooked. If left untreated, the condition may require extensive orthodontic treatment.

Space maintainers help to maintain the space previously occupied by the missing tooth and works to avoid further space loss. When your child reaches the appropriate age, the spacer will be removed so that the permanent teeth can erupt properly into the mouth. (Remember: Some baby teeth are not replaced until a child is 12 or 14 years old.)

Special Care:

  • Avoid sticky sweets or chewing gum.
  • Don't tug or push on the space maintainer with your fingers or tongue.
  • Keep it clean with conscientious brushing and flossing.
  • Continue regular dental visits.

Early Orthodontic Treatment

photo of early treatment photo of early treatment

Early treatment photos

It's never too early to keep an eye on your child's oral development. Our doctor can identify malocclusion—crowded/crooked teeth or bite problems—and actively intervene to guide the teeth as they emerge in the mouth. Early orthodontic treatment can prevent more extensive treatment later.

Orthodontics can straighten crooked teeth, guide erupting teeth into position, and correct bite problems. Straight teeth are easier to keep clean and less susceptible to tooth decay and gum disease.

Different orthodontic appliances work in different ways to benefit your child's dental health. Some are fixed; others are removable. Our doctor will explain which appliance is best for your child, what the treatment can do, and how long it will take.

As with any dental treatment, the more a child cooperates, the better the results.

  • Careful brushing and flossing keep the appliance and your child's health in top shape. Removable appliances should be brushed each time the teeth are brushed.
  • Regular dental checkups, besides orthodontic appointments, protect your child from tooth decay and gum disease.
  • Promptly contact our office when an appliance breaks. This will keep orthodontic treatment on time and on track.
  • Avoid eating sticky foods (gum, caramels) and large, hard foods (peanuts, ice chips, popcorn).
  • Some appliances can alter speech at the beginning of treatment, but most children adapt and can speak clearly within a day or two. Generally, children can safely run, jump, swim, and play with an orthodontic appliance. Check with our doctor for specific advice on your child's activities.

Back to top

Just4Kids Pediatric Dentistry provides general dentistry for children in Vancouver, Surrey, and Langley, BC. Dr. Wendy Tang and Dr. Amy Bellamy offer general dentistry for infants and children. Contact Just4Kids Pediatric Dentistry to schedule an appointment.

About Us | For New Patients | Dental Services | Behaviour Management | Dentistry for Kids | Contact Us | Home | Patient Login | Site Map

AAPD CAPD Canadian Dental Association member

Dental Web Site by Sesame Design™