stock photo infant smiling

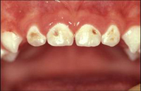
Early Childhood Caries

closeup of decay in small child

What is early childhood caries?

Decay in infants and children is called early childhood caries (ECC) or baby bottle tooth decay (BBTD). It most often starts causing caries in the upper front teeth but other teeth may also be affected.

What causes early childhood caries?

Decay occurs when sweetened liquids are given and are left clinging to an infant's teeth for long periods. Many sweet liquids cause problems, including milk, formula and fruit juice. Bacteria in the mouth use these sugars as food. They then produce acids that attack the teeth. Each time your child drinks these liquids, acids attack for 20 minutes or longer. After many attacks, the teeth can decay. It's not just what you put in your child's bottle that causes decay, but how often—and for how long a time. Giving your child a bottle of sweetened liquid many times a day isn't a good idea. Allowing your child to fall asleep with a bottle during naps or at night can also harm the child's teeth.

closeup of decay in small child closeup of decay in small child

Tooth decay

How can early childhood caries be prevented?

After each feeding, wipe the baby's gums with a clean gauze pad. Begin brushing your child's teeth at least twice a day when the first tooth erupts. Clean and massage gums in areas that remain toothless, and begin flossing when the back teeth are touching, usually by age 2 or 2 1/2.

  • Never allow your child to fall asleep with a bottle containing milk, formula, fruit juice or sweetened liquids.
  • If your child needs a comforter between regular feedings, at night, or during naps, give the child a clean pacifier. Never dip the pacifier in any sweet liquid (such as honey).
  • Avoid filling your child's bottle with liquids such as sugar water and soft drinks.
  • At-will night-time breast-feeding should be avoided after the first primary (baby) teeth begins to erupt.
  • Start dental visits by the child's first birthday. Make visits regularly. If you think your child has dental problems, take the child to the dentist as soon as possible.
photo of baby bottle

When should bottle-feeding be stopped?

Switch from the bottle to a cup once your child is old enough to sit up for meals and snacks. Encourage your child to drink from a cup as they approach their first birthday.

photo of toothbrush

When should I start cleaning my baby's teeth?

photo of fingerwipe photo of babybrush

Fingerwipe

Baby brush

The sooner the better! Starting at birth, clean your child's gums with a soft infant toothbrush and water. Remember that most small children do not have the dexterity to brush their teeth effectively. Use just a tiny dab of fluoride toothpaste for babies. When your child is around age 3, you can start using toothpaste about the size of a small pea.

Back to top

Just4Kids Pediatric Dentistry provides general dentistry for children in Vancouver, Surrey, and Langley, BC. Dr. Wendy Tang and Dr. Amy Bellamy offer general dentistry for infants and children. Contact Just4Kids Pediatric Dentistry to schedule an appointment.

About Us | For New Patients | Dental Services | Behaviour Management | Dentistry for Kids | Contact Us | Home | Patient Login | Site Map

AAPD CAPD Canadian Dental Association member

Dental Web Site by Sesame Design™